Dismiss Modal

Hip Program

Hip Program

Valley Children’s Orthopaedic Center houses the first Hip Program for infants and children, and adolescent and young adults up to 35 years of age in the Central Valley. Our program specializes in the diagnosis and treatment of all pediatric through young adult hip disorders.

Infant and Child Hip

We provide a wide range of treatment options for both common and complex hip disorders. We treat infants and children with congenital, developmental and post-traumatic hip disorders with access to cutting edge intervention without having to travel outside of the Valley.

Adolescent and Young Adult Hip Preservation Program

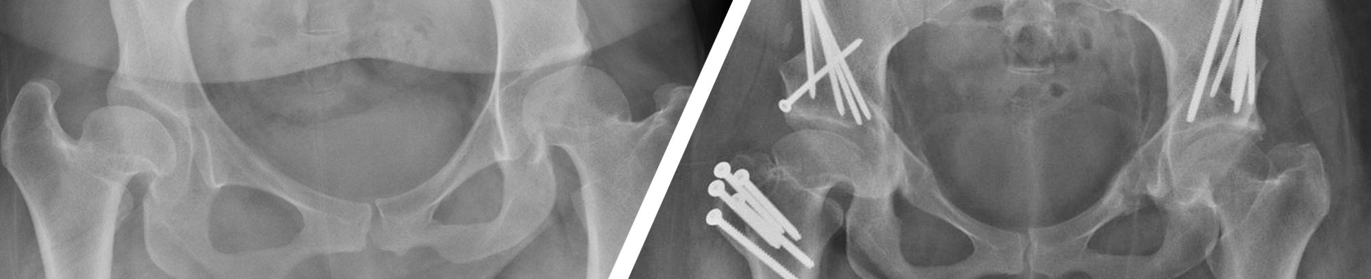
Valley Children’s orthopaedic specialists treat a wide variety of hip abnormalities in teens and young adults up to 35 years of age. Common and complex hip conditions can often go undetected in early childhood and may not be diagnosed until chronic hip pain or other symptoms begin to occur during adolescence and young adulthood. Our nationally recognized hip preservation specialists provide treatment from early intervention to prevent further joint damage, to complex surgical intervention to reduce pain and improve function.

Hip Conditions We Treat

  • Hip impingement, or femoroacetabular impingement (FAI)
    • Cam impingement
    • Pincer impingement
  • Developmental hip dysplasia (DDH)
  • Legg-Calvé Perthes disease
  • Avascular necrosis (osteonecrosis or AVN)
  • Slipped capital femoral epiphysis (SCFE)